ZUMEDYA HABER

#Sağlık / Güzellik

Menopozun konuşulmayan etkisi! Ağız sağlığını bile değiştiriyormuş, diş etini ince ince çektiriyor

Araştırma sonuçlarına göre menopoz dönemindeki kadınların önemli bir bölümü çeşitli ağız ve diş problemleri yaşıyor. Buna rağmen, katılımcıların büyük çoğunluğu bu sorunların hormon değişimleriyle ilişkili olabileceğini bilmiyor.

Uzmanlar, menopoz sırasında östrojen seviyesinin düşmesinin tükürük üretimini azalttığını belirtiyor. Bu durum ağız kuruluğuna yol açarken, aynı zamanda çürük riskini artırıyor ve enfeksiyonlara zemin hazırlıyor. Ağızda yanma hissi de bu dönemde sık görülen şikayetler arasında yer alıyor.

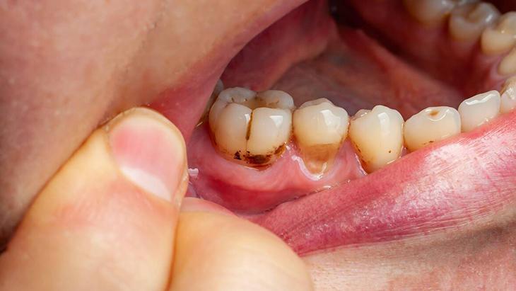
Menopoz sürecinde yalnızca kuruluk değil, farklı ağız sağlığı sorunları da ortaya çıkabiliyor. Bunlar arasında: diş hassasiyeti, diş eti kanaması, diş eti çekilmesi ve artan çürük oluşumu yer alıyor.

Uzmanlar ayrıca menopoz sonrası görülebilen kemik yoğunluğu kaybının çene kemiğini de etkileyebileceğini ve bunun ilerleyen süreçte diş kaybına yol açabileceğini ifade ediyor.

Araştırmaların en çarpıcı sonuçlarından bir tanesi ise kadınların çok az bir kısmının yaşadığı bu sorunlar için diş hekimine başvurması. Uzmanlara göre bu durum, ağız sağlığı ile hormonlar arasındaki ilişkinin yeterince bilinmemesinden kaynaklanıyor.

Uzmanlar, menopoz döneminde ağız sağlığını korumak için düzenli diş kontrollerinin ihmal edilmemesi gerektiğini vurguluyor. Ayrıca günlük ağız bakımına özen gösterilmesi, dengeli beslenme ve zararlı alışkanlıklardan uzak durulması da öneriler arasında yer alıyor.

Ağız kuruluğu, hassasiyet veya yanma gibi belirtilerin hafife alınmaması gerektiğini belirten uzmanlar, erken müdahalenin daha ciddi sorunların önüne geçebileceğini ifade ediyor.

Menopozun konuşulmayan etkisi! Ağız sağlığını bile değiştiriyormuş, diş etini ince ince çektiriyor

Motorin fiyatlarında indirim

Leave a comment

E-posta adresiniz yayınlanmayacak. Gerekli alanlar * ile işaretlenmişlerdir